1)ホワイトニング
歯を削ることなく歯を白く整える方法で、ホワイトニング剤を使用して歯の中に染み込んでいる汚れを取り除き、歯を漂白することで歯の色を白くします。当院では自宅で行うホームホワイトニングを行っております(ホームホワイトニングではマウスピースを製作し、ご自宅でご自身で治療を行います。個人差がありますが約2週間程で効果が表れます)。
-
型取りとクリーニング
歯科医院でマウストレーの型取りをして、ホワイトニング効果を得やすくするために歯の表面のクリーニングを行います。
-
試適と説明
マウストレーの着脱の確認をして使用方法を説明します。
-
ジェルの注入
トレーへホワイトニングジェルを適量注入します
(ここからの作業はご自宅で行っていただきます)。 -
装着
注入したトレーを装着します(装着時間は指示に従ってください)。
-
経過の確認
ホワイトニング効果の経過確認を行うので2ヶ月後にご来院ください
※効果は個人差があります。
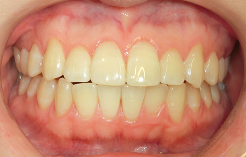
※デメリット:手間と時間がかかる。知覚過敏症が起きることがある。before
after
年齢:女性(22歳)
症状:歯の黄ばみが気になり、白くしたい。
期間:1〜2ヶ月
2)ハイブリッド(セラミック系)
セラミック(陶材)とコンポジットレジンを調合してつくられた、柔軟性のある材質です。
柔軟性が高いので、周囲の歯や噛み合う歯にダメージが少ないのが特徴です。
3)ジルコニア(セラミック系)
人工ダイヤモンド(二酸化ジルコニウム)とも言われ、セラミック系素材の中でも圧倒的に丈夫で割れにくいのが特徴です。また色も白く、変色が少ないです。そのため大白歯やブリッジに適しています。
4)e-max(セラミック系)
二ケイ酸リチウムを主成分とする新しいセラミックス素材で、柔らかすぎず硬すぎないという優れた特徴をもっています。天然歯に限りなく近い透明感を持っているので特に審美性に優れています。


