歯科

むし歯や歯石の除去、いれ歯、ブリッジの製作などの基本的治療を中心に口臭測定器や炭酸ガスレーザー及び、エルビウムYAGレーザーを使用した歯周病治療、専用の器材を使用した歯面をつるつるピカピカにするホワイトニングを行っています。さらに予防歯科として歯や歯肉の健康な状態を維持していくために、患者様に合った定期的なリコール期間を設定して歯科医師による検診後、歯科衛生士によるプロフェッショナルクリーニング(飲食物による着色、タバコ、ヤニの除去)を行っています。
歯周病詳細はこちら
むし歯や歯石の除去、いれ歯、ブリッジの製作などの基本的治療を中心に口臭測定器や炭酸ガスレーザー及び、エルビウムYAGレーザーを使用した歯周病治療、専用の器材を使用した歯面をつるつるピカピカにするホワイトニングを行っています。さらに予防歯科として歯や歯肉の健康な状態を維持していくために、患者様に合った定期的なリコール期間を設定して歯科医師による検診後、歯科衛生士によるプロフェッショナルクリーニング(飲食物による着色、タバコ、ヤニの除去)を行っています。
歯周病詳細はこちら
小児歯科は、乳幼児期(8ヶ月)から永久歯が生えそろう学童期(12~13才)を対象としております。お子様達にはまず、むし歯や、歯ぐきの治療よりも、フッ素塗布や検診を定期的にすることで歯医者さんに来ることに慣れてもらい、恐怖心がなくなることを第一に考えて診療しています。シーラント(予防充填)処置も積極的に行っています。
小児歯科詳細はこちら
オルソパノラマデジタル画像撮影をして、必要であれば、歯科用CT撮影も行い、親知らずの状態を確認して十分な説明後抜歯を行っています。顎関節症、クレンチング症候群に対する治療はマウスピース療法、エルビウムYAGレーザー、炭酸ガスレーザーを使用しています。メラニン色素除去を行っています。

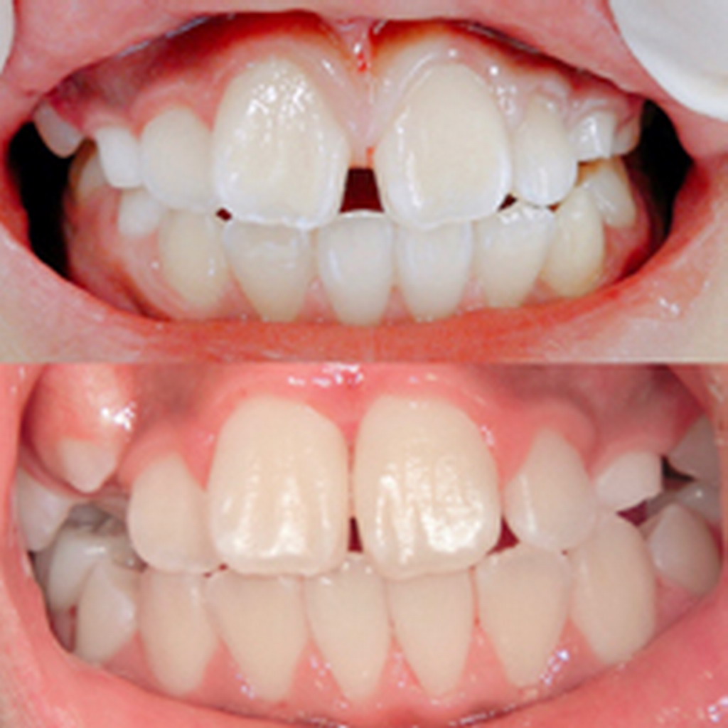
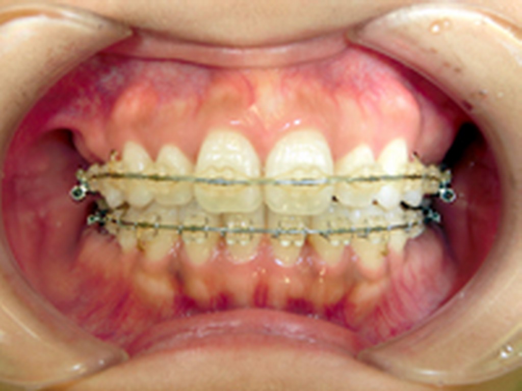
歯並びが悪いとむし歯・歯周病のリスク・噛む力の低下・発音障害など見た目以外でも色んな悪影響を受ける可能性があります。
当院では月に2・3回、日本矯正歯科学会 認定医による矯正治療を行っています。
小さなお子様から成人まで患者様のお悩みをまずはしっかりカウンセリングしてから資料を元に、治療の進め方を提案させて頂いています。